صور صادمة تكشف ما تفعله الأطعمة فائقة المعالجة بعضلاتك
صوت عدن | صحة:
من المعروف أن الأطعمة فائقة المعالجة تزيد خطر السمنة والسكري وأمراض القلب والسرطان. لكن صورا طبية كشفت أخيرا حجم الدمار الحقيقي الذي تتركه هذه الأطعمة داخل الجسم.
وحذرت دراسة الحالة الجديدة من أن الإفراط في تناول الأطعمة فائقة المعالجة يؤدي أيضا إلى تراكم الدهون داخل العضلات نفسها، ما يضعفها ويعطيها مظهرا يشبه شريحة اللحم.


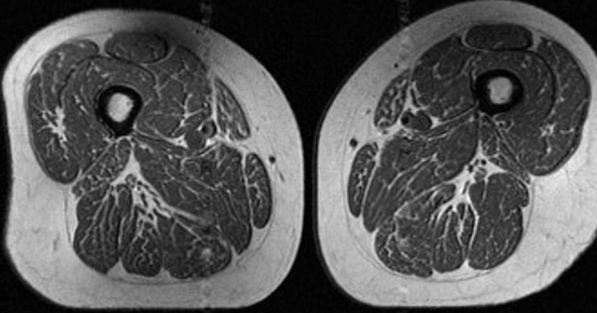
ونشر الأطباء صورة لمقطع عرضي لفخذ امرأة كانت تتلقى 87% من تغذيتها من الأطعمة فائقة المعالجة، مثل حبوب الإفطار السكرية، وألواح الشوكولاتة، والمشروبات الغازية. ورغم ممارستها نشاطا بدنيا معتدلا، ظهرت عضلات فخذها مليئة بالدهون المخططة الشبيهة باللحم المدهون.
وهي ليست الحالة الوحيدة. ففي دراسة أوسع شملت 615 شخصا معرضا لخطر خشونة الركبة، وجد الباحثون أن الأطعمة فائقة المعالجة تشكل 41% من نظامهم الغذائي اليومي، وأن الاستهلاك المرتفع لهذه الأطعمة يرتبط بشكل مباشر بزيادة الدهون المخفية داخل العضلات، خاصة في الفخذين.
وهذه الحالة تعرف طبيا باسم تنشّج العضلات الدهني، وتحدث عندما تؤدي الضغوطات الأيضية - مثل النظام الغذائي الغني بالسكريات المكررة والدهون غير الصحية والمواد المضافة - إلى التهاب العضلات، وعدم استجابة الخلايا العضلية للإنسولين، وتحول الخلايا المتخصصة داخل العضلة إلى خلايا دهنية، ما يؤدي إلى استبدال النسيج العضلي السليم بجيوب دهنية.
والعواقب خطيرة. فالعضلات الدهنية تجعل صعود السلالم وحمل الأغراض والمشي السريع أكثر صعوبة، وتزيد من خطر السقوط، وتؤدي مع الوقت إلى نمط حياة خامل يسرع فقدان العضلات. كما أنها ترتبط بارتفاع معدلات مقاومة الإنسولين، ومتلازمة التمثيل الغذائي، والالتهاب المزمن، وزيادة خطر دخول المستشفى والمضاعفات الجراحية والوفاة المبكرة، خاصة لدى مرضى الكبد والكلى والسرطان.
وأظهرت صور الرنين المغناطيسي للمشاركين أن أكثر العضلات تضررا هي الفخذين الداخليين، ثم أوتار الركبة، بينما تأثرت العضلات الرباعية بنسبة أقل. وكانت النتائج متطابقة بين الرجال والنساء، وكان الارتباط أقوى عند قياس محيط الخصر بدلا من مؤشر كتلة الجسم.
ورغم أن الباحثين لا يستطيعون الجزم بأن التوقف عن هذه الأطعمة يعكس الضرر الحاصل، إلا أن الأدلة تؤكد أن ممارسة التمارين الهوائية بانتظام (كالمشي 30-60 دقيقة يوميا) وتمارين المقاومة يمكن أن تحسن جودة العضلات وتقلل الدهون داخلها، حتى من دون فقدان كبير للوزن. كما أن فقدان الوزن عبر الجراحة أظهر نتائج إيجابية لدى مرضى السمنة المفرطة.
المصدر: ديلي ميل
